L'ECTROPION
Qu'est ce que l'ectropion
 L’ectropion se définit par l’éversion (retournement vers l’extérieur) de la paupière supérieure ou inférieure. Au stade avancé de l’ectropion, une perte d’adhésion entre la paupière et le globe oculaire peut être constatée. L’éversion de la paupière inférieure, dite sénile, est la plus fréquente. L’ectropion peut également être cicatriciel lorsqu’il est provoqué par un traumatisme ou un eczéma de paupière supérieure ou inférieure
  
Quels sont les risques ?
 La principale conséquence de l’ectropion est la perte de la fonction de protection du globe 
assurée par la paupière inférieure. Une mauvaise occlusion des paupières peut ainsi survenir, laissant le globe exposé. Il peut en résulter une sécheresse, responsable de kératite ou d’ulcère cornéen 
dans les cas les plus graves. Moins préoccupant mais causant un préjudice esthétique important, un fort larmoiement et des sécrétions sales sont fréquemment constatés.
 
 Comment le détecter ?
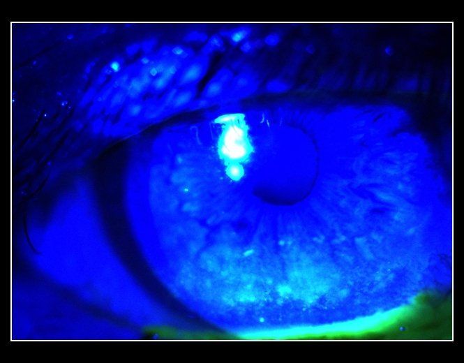
 L’ectropion est décelé, soit par le patient ou son entourage lorsqu’il est à un stade avancé, soit par le praticien au moment de la consultation pour une pathologie débutante. L’examen clinique macroscopique et au biomicroscope détermine le stade de l’ectropion 
et permet de détecter les éventuelles complications. Des photographies sont également réalisées.
 
 Les traitements de l'éctropion
 Le praticien s’attache, dans un premier temps, à traiter les éventuelles complications liées à l’ectropion (traitement mouillant pour la sécheresse, antibiotique en cas de conjonctivite). 
Un traitement chirurgical est ensuite proposé ; il est réalisé en ambulatoire sous anesthésie locale. Les techniques chirurgicales (résection pentagonale, latéral tarsal strip) sont discutées au cas par cas, en fonction de l’examen clinique. 



